Community
전후화보사진바이브에서 수술한 고객분들의 생생한 전후화보사진을 만나보세요





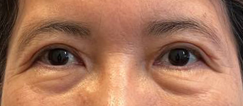
안녕하세요 저는 57세 중년여성입니다
난시때문에 안경을 쓰고 있어 눈밑의 살 하안검을
보지 못하다가 어느날 부터 보이더라구요
한번 그러니까 자꾸 거슬려 하안검수술을
알아보다 광교 올바른안과에서
바이브성형외과 유영문원장님을 소개시켜줘서
진료받고 운좋게 바로 수술받아
처음 밴드붙이고 일주일은 좀 많이 아팠지만
그이후 좋아져서 지금은 아주 만족하고 있답니다
남보기보다 저 스스로 만족도가 너무 좋습니다
눈코 너무 잘 해주셨어요 ㅎㅎ 최공
NAME : 손예은
2025.09.19
자려한라인으로 수술잘해주셨어요
NAME : 한수민
2025.09.15
눈,코재,이마거상 11개월차
NAME : 김세원
2025.09.09
복코성형 4개월차입니다!
NAME : 이유나
2025.09.03
매부리코성형 성공 ㅎ.ㅎ
NAME : 성다경
2025.08.26
코수술받고 자신감이 높아졌어요
NAME : 공윤정
2025.08.19
점점 자리잡고 있어 만족하며 지내요:)
NAME : 박선현
2025.08.13
눈, 코, 지방이식 만족후기~~
NAME : 이수정
2025.08.12
원하는 모양대로 코수술해주셨어요ㅎ.ㅎ
NAME : 이호윤
2025.08.06
바이브에서 수술받고 젊어졌어요~~~
NAME : 김영해
2025.07.29
유영문원장님이 예쁜 코 만들어 주셨어용><
NAME : 황현정
2025.07.23
저의 코버지 유원장님 감삼다~
NAME : 신슬빈
2025.07.21