Community

전후화보사진

전후화보사진

바이브에서 수술한 고객분들의 생생한 전후화보사진을 만나보세요

벌써 3개월이라니ㅎㅎ

작성자: 임수진 작성일: 2022.08.23

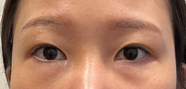
수술후__2_-1.jpg

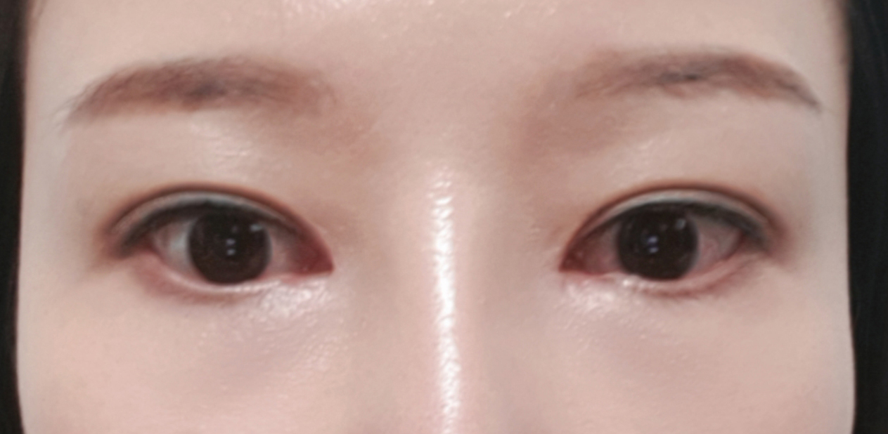
수술전__1_.jpg

수술전__2_.jpg

수술전__3_.jpg

수술후__2_-1.jpg

수술후__3_-1.jpg

수술후__4_-1.jpg

바이브성형외과 유영문 원장님께 눈하고 코재수술 받은지 

벌써 3개월 차..

용코(콧구멍보임+비대칭), 쳐진 비주,  낮고 뭉툭한 코끝,

답답해 보이는 속쌍꺼풀 총체적 난국이었죠..

지금은 어느 정도 자리도 잡고 변한 제 모습에 익숙해졌답니다. 특히 코가 많이 높아졌어요!!!!! 

처음 수술하고 낮고 작은 코를 최대한 높은 코로, 너무 화려하지 않지만 저한테 어울리면서 잘 맞게 잘 된거 같아요.

주위 지인들도 코 너무 잘 됐다고, 어디서 했냐고~

그리고 눈도 답답해 보이는 부분을 시원하게 만들어주셨어요!! 근데 절개다 보니 잔붓기가 남아있어서 왼쪽 오른쪽이 다르게 빠지고 있어 경과 보면서 지켜보려구요! 

총체적 난국인 제 눈과 코를 변화시켜주신 바이브성형외과 유영문 원장님 너무 감사합니다!! 그리고 원장님 너무 친절해요!!!!



최상단 아이콘
📸